| CASE
115 (September 2015)
Clinical information
A 15-year-old woman with no medical history was evaluated by widespread edema, headache and coliuria. Blood pressure: 150/95. Hb: 12.7; Ht: 38.2% leukocytes: 9,800/mm2. Serum creatinine 1.9 mg/dL, BUN 29 mg/dL. Urinalysis: Proteins: 2.4 g/24h, erythrocytes: > 50/hpf, leukocytes: 4-5/hpf, nitrites: negative.
A renal biopsy was done, see the images.

Figure 1. H&E, X100.

Figure 2. H&E, X400.

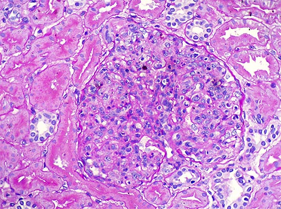
Figure 3. PAS, X400.

Figure 4. Masson's trichrome stain, X400.

Figure 5. Methenaime-silver stain, X400.

Figure 6. Masson's trichrome stain, X1,000.

Figure 7. Immunofluorescence for IgG, X400.

Figure 8. Immunofluorescence for C3, X400.
Immunofluorescence for IgA, IgM, and C1q: Negative.
What is your diagnosis?
See
diagnosis and discussion
[Top]
|