|
|
CASE
111 (May 2015)
Clinical information
A 39-year-old woman is evaluated in the emergency department with dyspnea, headache, malaise and edema. Approximately three months of nonspecific systemic symptoms. She had not sought medical attention for very difficult economic, geographical and social conditions. Intermittent subjective fever in the last weeks and weight loss of about 10 kg in the last three months.
Other tests: Hb: 9.2 mg/dL, Hto: 28%, platelets 235,000/mL; leukocytes: 8,400/mL; lymphocytes: 250/mL. Total Proteins: 3.8 g/dL, albumin 1.8 g/dL. Creatinine 3.8 mg/dL, BUN 43 mg/dL. Studies of autoimmunity and serum complement: normal or negative. Urinalysis: proteins: 500 mg/dL (5.2 g/24h), erythrocytes: 20-30/CGA, granular and leukocyte casts; nitrites: negative.
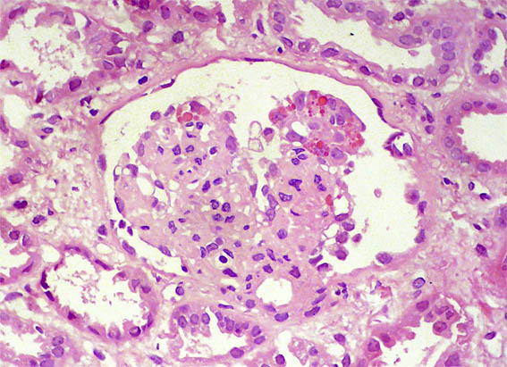
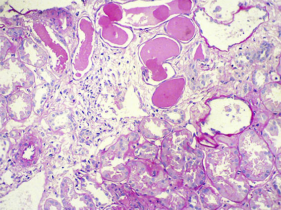
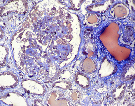
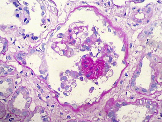
See the images of the renal biopsy.

Figure 1. H&E, X100.

Figure 2. H&E, X100.

Figure 3. H&E, X400.

Figure 4. PAS, X100.

Figure 5. Masson´s trichrome, X400.

Figure 6. PAS, X400.

Figure 7. Methenamine-silver, X100.

Figure 8. Methenamine-silver, X400.

Figure 9. Direct immunofluorescence for IgM, focal and segmental positivity, X400. The immunostaining was similar for C3.
Direct immnuofluorescence for IgA, IgG, and C1q: Negative.
What is your diagnosis?
See
diagnosis and discussion
[Top]
|
|