|
|
CASE
110 (April 2015)
Clinical information
The patient is a 49-year-old man who was kidney transplanted nine years ago. Normal graft function, without proteinuria, until the 8th year, when he started to present mild proteinuria that gradually increased to 2.8 g/24 hours. Serum creatinine has also increased to 1.6 mg/dL.
Other tests: Hb: 9.5 mg/dL, Hto: 30.2 % (he has had multiple transfusions for anemia, since before transplantation), severe dyslipidemia: Triglycerides: 488, total cholesterol 480 mg/dL, VLDL: 209 mg/dL, LDL: 2 mg/dL, HDL: 3 mg/dL. Tests for autoimmunity, complement and viruses: Negative or normal. Ultrasound of the graft: Normal. On examination: Corneas opaque bluish with peripheral white halo, without visual impairment. No other alterations.
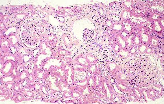
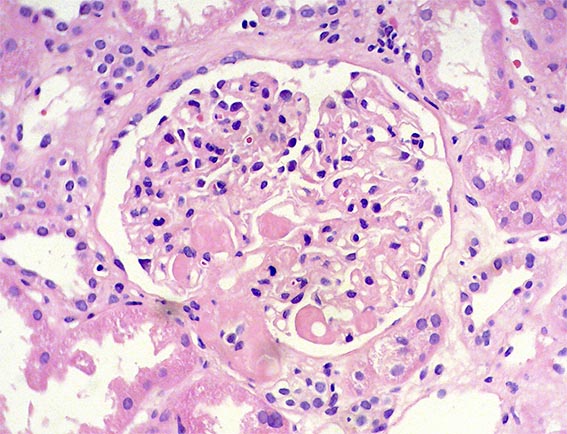
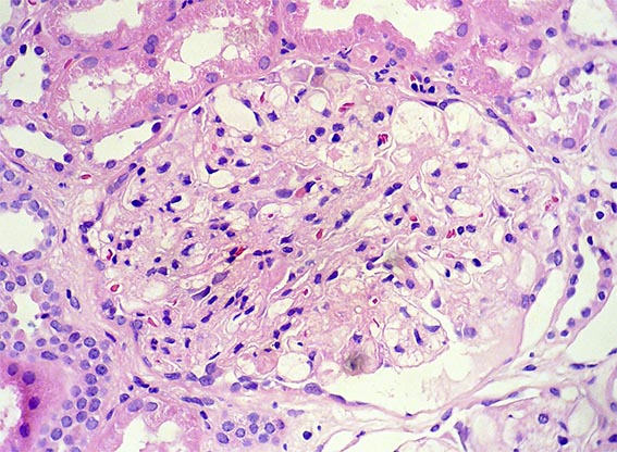
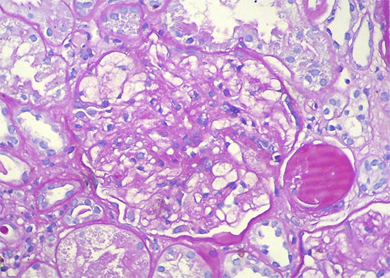
See the images of the biopsy.

Figure 1. H&E, X100.

Figure 2. H&E, X400.

Figure 3. H&E, X400.

Figure 4. PAS, X400.

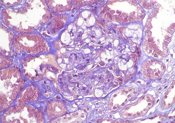
Figure 5. Masson´s trichrome, X400.

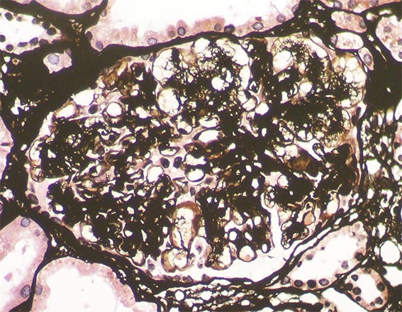
Figure 6. Methenamine-silver, X400.

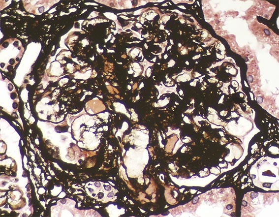
Figure 7. Methenamine-silver, X400.

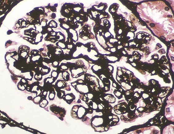
Figure 8. Methenamine-silver, X400.

Figure 9. Masson´s trichrome, X400.
Direct immnuofluorescence for IgA, IgG, IgM, C3, C1q, kappa, lambda, and fibrinogen: Negative. C4d: Negative.
What is your diagnosis?
See
diagnosis and discussion
[Top]
|
|