|
|
CASE
105 (November 2014)
Clinical information
The patient is a 32-year-old woman with ESRD of unknown cause. She was deceased donor kidney transplanted. Five HLA mismatches (A: 1, B: 2, DR: 2); cytotoxic antibodies: negative. Good initial graft function, with creatinine decreased to 1.8 on the third day. The fourth day she presented elevated serum creatinine: 2.3, and it increased to 3.6 on the fifth day. Ultrasound without renal hematoma, compression, pyelocaliceal dilation, or other alterations. Increased resistance index by Doppler sonography.
A renal biopsy was performed. See the microscopic images.

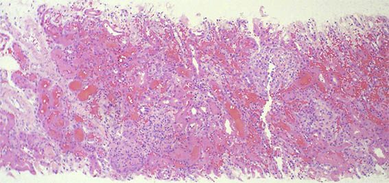
Figure 1.
H&E, X100.

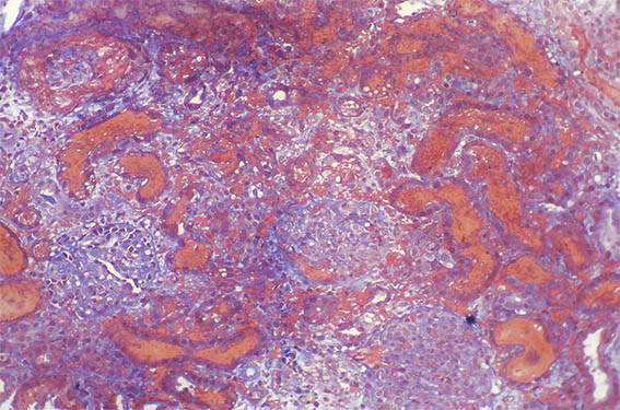
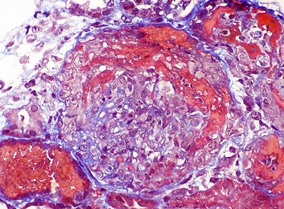
Figure 2. Masson's trichrome stain, X100.

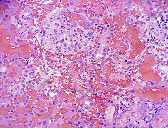
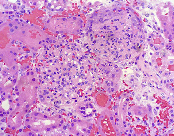
Figure 3. H&E, X200.

Figure 4. H&E, X200.

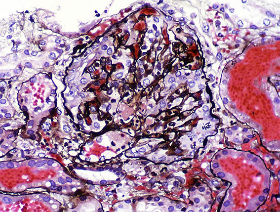
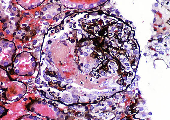
Figure 5. Methenmine-silver stain, X100.

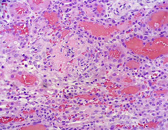
Figure 6. H&E, X200.

Figure 7. H&E, X200.

Figure 8. Methenamine-silver stain, X400.

Figure 9. Methenamine-silver stain,
X400.

Figure 10. Masson's trichrome stain, X400.

Figure 11. Methenamine-silver stain,
X400.

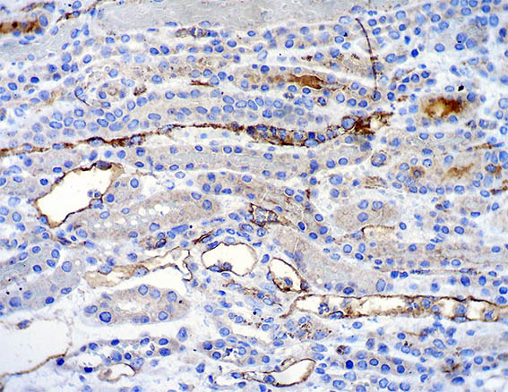
Figure 12. Immunohistochemistry for C4d (paraffin-emdedded tissue), X400.
Immunofluorescence for IgA, IgG, IgM, C3 and C1q: Negative.
What is your diagnosis?
See
diagnosis and discussion
[Top]
|
|