|
|
CASO
43 (Septiembre 2009)
Datos clínicos
En nuestro laboratorio recibimos para
interconsulta varios cristales con cortes histológicos de un tumor
renal.
El caso corresponde a lesión tumoral
de riñón izquierdo de una mujer de 56 años de edad.
Ella consultó por síntomas abdominales vagos. Entre los
estudios ordenados se incluyó una ecografía abdominal en
la cual se evidenció una lesión tumoral multiquística
de 3,8 cm de diámetro mayor, localizada en el polo superior del
riñón izquierdo.
La descripción macroscópica
que recibimos dice que la lesión medía 3,9 x 3,5 x 3,5 cm,
era bien definida, sin aparente extensión extrarrenal ni compromiso
del hilio; al corte completamente multiquística, sin aparentes
áreas sólidas, las cavidades oscilaban entre 0,1 y 1,2 cm,
algunas ocupadas por líquido traslúcido y otras por líquido
marrón. No había otras lesiones macroscópicas (no
recibimos fotografías del espécimen).
Observe las imágenes.

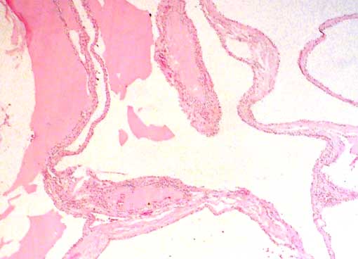
Figura 1.
H&E, X100.

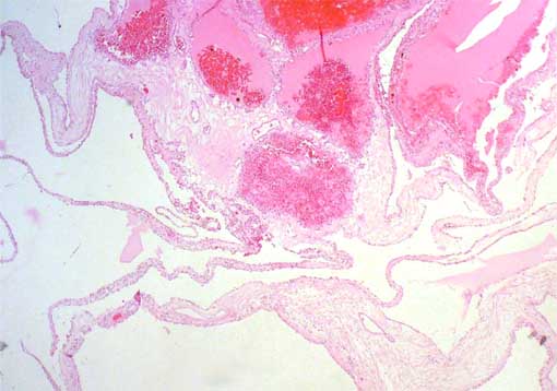
Figura 2.
H&E, X100.

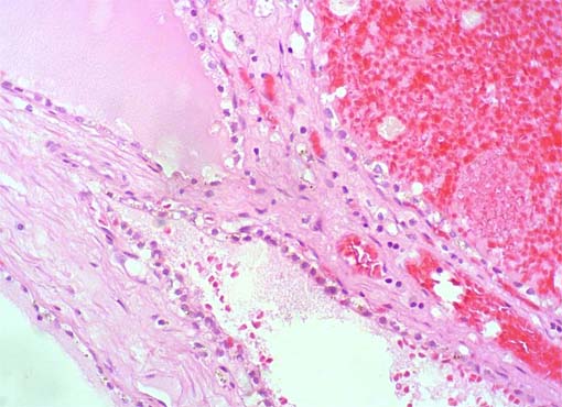
Figura 3.
H&E, X200.

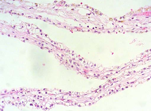
Figura 4.
H&E, X200.

Figura 5.
H&E, X400.

Figura 6.
H&E, X400.

Figura 7.
H&E, X400.
No se encontraron áreas sólidas
con células claras ni había parénquima renal en los
septos.
¿Cuál es su diagnóstico?
Ver
diagnóstico y discusión
[Arriba]
|
|