CASO
3 (Mayo 2006)
Datos
clínicos
Mujer de 25 años de edad. Consulta por una historia
de 10 días de evolución de edema en cara y miembros inferiores,
dolor en la rodilla derecha, sin artritis; no expresa otros síntomas.
Relata que hace un año le encontraron hematuria en un citoquímico
de orina: 50 por campo de gran aumento, sin proteinuria; ella no sabe
de otros exámenes en ese entonces. En esa ocasión había
consultado por lesiones purpúricas en piel de las que no se aclaró
su causa y desaparecieron espontáneamente. No relata fiebre, pérdida
de peso ni lesiones cutáneas en la actualidad.
No hay historia personal ni familiar de enfermedades
relevantes.
Al examen físico se le encuantra PA: 190/100,
no hay edema de pápila. Edema grado I en miembros inferiores. No
se detecta ninguna otra alteración al exámen físico.
No hay palidez mucocutánea.
En el citoquímico de orina se encuantran 60 eritrocitos
por campo, proteinas: 4.27 g/24 h; el estudio de sangre periférica
fue normal, sin anemia. Los exámenes paraclínicos mostraron
una función hepática normal. ANCAs, pruebas para hepatitis
B y C, ANAs y crioglobulinas negativas. C3 y C4 normales. La creatinina
sérica fue de 3.8 mg/dL el primer día de la atención
médica y se elevó hasta 5.7 mg/dL en el séptimo día.
La ecografía renal mostró riñones de tamaño
normal pero con pobre diferenciación corticomedular.
¿Cuál es su diagnóstico clínico?
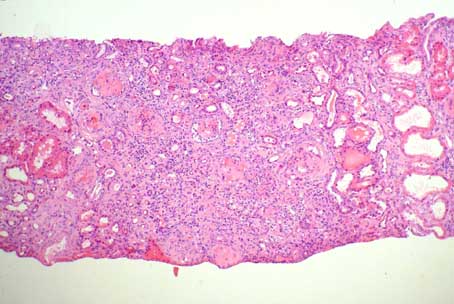
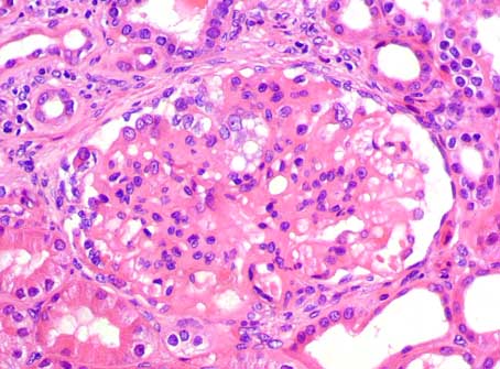
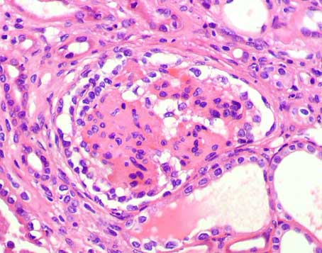
Se toma biopsia renal. Observe las imágenes.

Figura 1.
(H&E, X100)

Figura 2.
(H&E, X400)

Figura 3.
(H&E, X400)

Figura 4.
(Plata-metenamina, X400)

Figura 5.
(Inmunofluorescencia para IgA, X400)

Figura 6.
(Inmunofluorescencia para IgM, X400)
La inmunofluorescencia para IgG, C3 y C1q fueron negativas.
¿Cuál es su diagnóstico?
Ver
diagnóstico y discusión
[Arriba]
|