CASO
208 (junio de 2023)
Datos clínicos:
Un hombre de 43 años con insuficiencia renal terminal de causa desconocida, presumiblemente una glomerulopatía, fue trasplantado de donante cadavérico. Función renal adecuada durante los 2 primeros años, con creatinina entre 0,8 y 1,0 mg/dL. Esquema de inmunosupresión: prednisona, tacrolimus y micofenolato, con adecuada adherencia y niveles séricos de tacrolimus en el rango terapéutico esperado. En un control periódico, al tercer año del trasplante, encuentran elevación de la creatinina sérica: 1,4 mg/dL, BUN: 27 mg/dL. Uroanálisis con proteinuria: 300 mg/dL, microhematuria: 15-20 eritrocitos por campo de gran aumento, algunos dismórficos, leucocitos: 6-8; proteinas en orina de 24 horas: 2,6 gramos. Estudios de enfermedades infecciosas negativos, complemento normal. Índices de resistencia en vasos del injerto: normales.
Se hace biopsia del injerto renal, observe las imágenes.

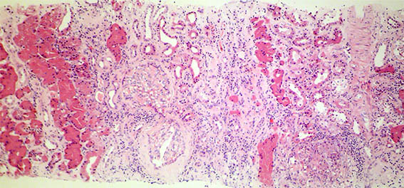
Figura 1. H&E, X100.

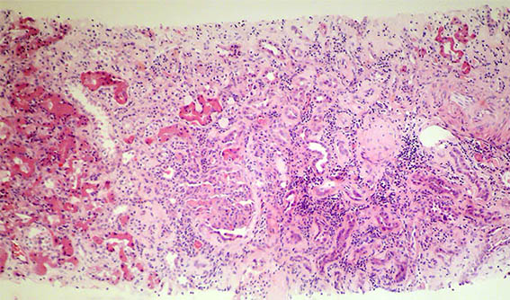
Figura 2. H&E, X100.

Figura 3.
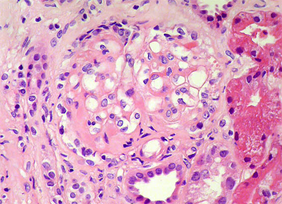
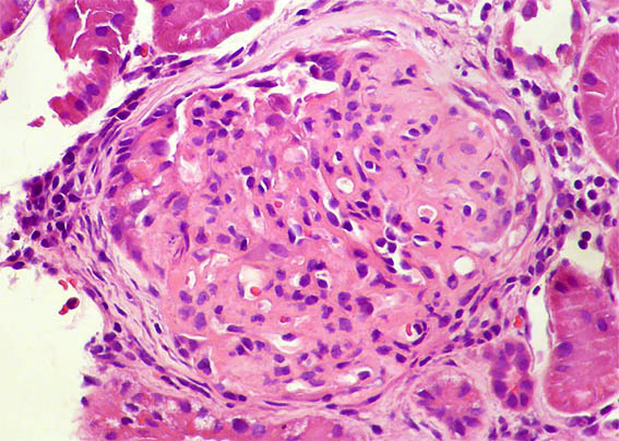
H&E, X400. Lesión esclerosante segmentaria.

Figura 4. H&E, X400. Otra lesión esclerosante segmentaria.

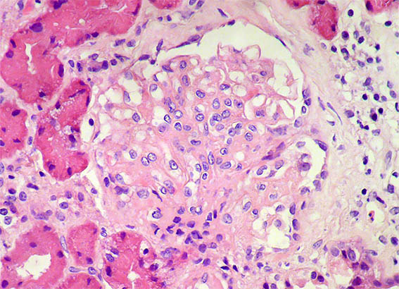
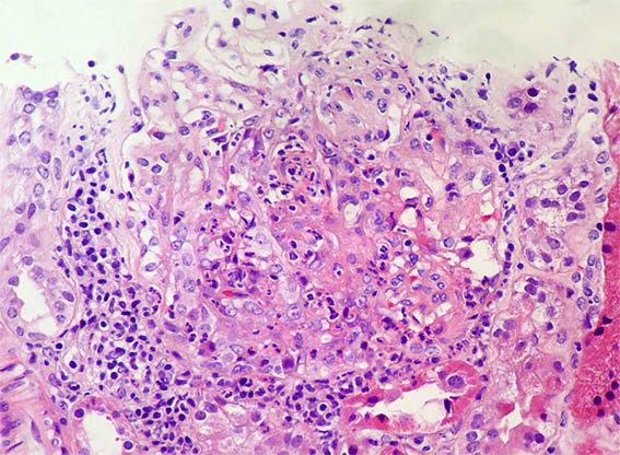
Figura 5. H&E, X400. Hipercelularidad endocapilar, exudativa, y una posible semiluna epitelial.

Figura 6. H&E, X400. Esclerosis segmentaria. Fragmento de tejido fijado en glutaraldehído.

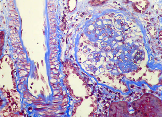
Figura 7. Tricrómico de Masson, X400. Un glomérulo con incremento de la matriz mesangial y una arteria normal.

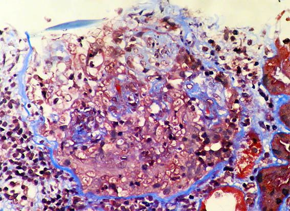
Figura 8. Tricrómico de Masson, X400. Hipercelularidad endocapilar.

Figura 9. Tricrómico de Masson, X400. Una semiluna epitelial.

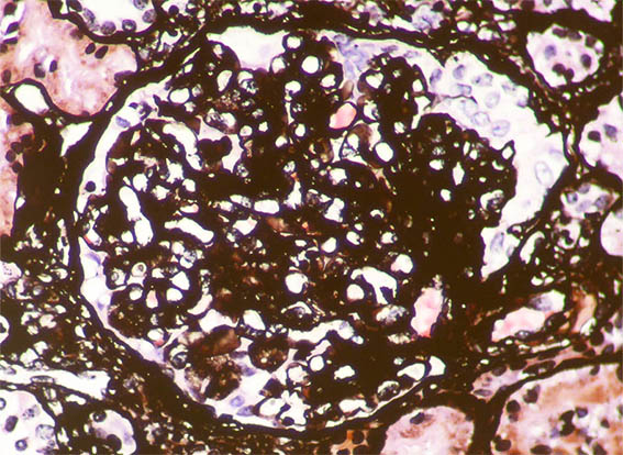
Figura 10. Plata-metenamina, X400.

Figura 11. Inmunofluorescencia para IgA, X400. Positividad mesangial y subendotelial.

Figura 12. Inmunofluorescencia para IgM, X400. Positividad mesangial y subendotelial.

Figura 13. Inmunofluorescencia para C3, X400.

Figura 14. Microscopía electrónica, aumento original, X2.100. Depósitos electron-densos mesangiales y subendoteliales; note el edema endotelial.

Figura 15. Microscopía electrónica, aumento original, X2.550. Un depósito subepitelial.

Figura 16. Microscopía electrónica, aumento original, X2.100. Depósitos mesangiales electron-densos y una luz capilar casi obstruida por una célula.

Figura 17. Microscopía electrónica, aumento original, X2.550. Depósitos electron-densos mesangiales.
Inmunofluorescencia directa para IgG y C1q: Negativas; kappa y lambda: Tinción similar a la de IgA e IgM. C4d: negativo.
¿Cuál es su diagnóstico?
Ver
diagnóstico y discusión
[Arriba]
|