CASO
205 (marzo de 2023)
Datos clínicos:
Una mujer de 56 años es evaluada por presentar edema progresivo. En los paraclínicos se evidencia síndrome nefrótico, con hipertensión arterial, microhematuria y elevación de la creatinina sérica (mixto: nefrótico - nefrítico). Como antecedente: hepatopatía etílica. No antecedentes familiares de enfermedad renal.
Paraclínicos: Hb: 11,4 mg/dL, Hto: 33%, plaquetas 230.000 x microlitro; leucograma normal. Cr sérica: 1,9 mg/dL, BUN: 34 mg/dL; proteinuria: 5,4 g/24 horas, albúmina: 2,4 g/dL; uroanálisis: eritrocitos 20/CGA, leucocitos: 5-7/CGA, cilindros granulares y hemáticos. ANAs: negativos; C3: 98, C4: 22, anti-DNA y ANCAs: negativos. VIH y virus hepatotropos: negativos. ALT 82 U/L (normal 7-55), AST 77 U/L (8-48), fosfatasa alcalina 160 U/L (40-129), bilirrubina total 1,3 mg/dL (0,1-1,2), bilirrubina directa: 0,7 mg/dL (<0,3).
Se hace biopsia renal, observe las imágenes.

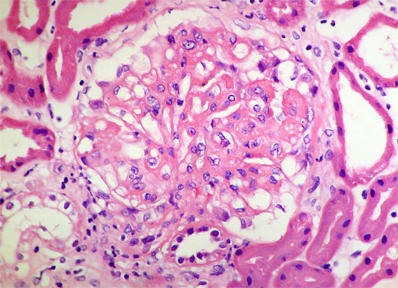
Figura 1. H&E, X400. Hipercelularidad segmentaria y engrosamiento de paredes capilares.

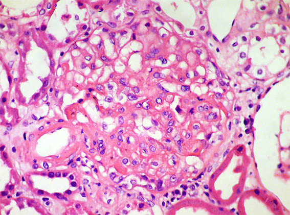
Figura 2. H&E, X400.

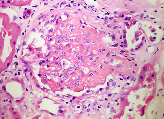
Figura 3.
H&E, X400. Lesión esclerosante segmentaria.

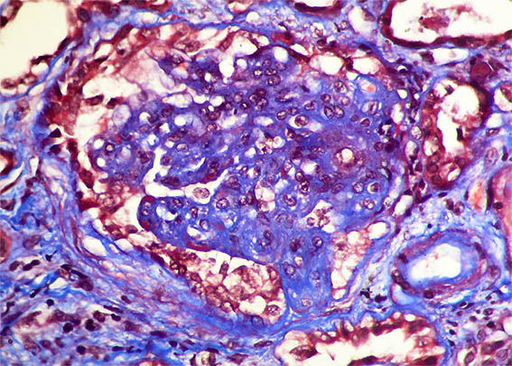
Figura 4. Tricrómico de Masson, X400. Lesión esclerosante segmentaria y posible pequeña semiluna epitelial en la parte inferior.

Figura 5. Tricrómico de Masson, X400.

Figura 6. Tricrómico de Masson, X400. Hiperplasia de podocitos o semiluna (?).

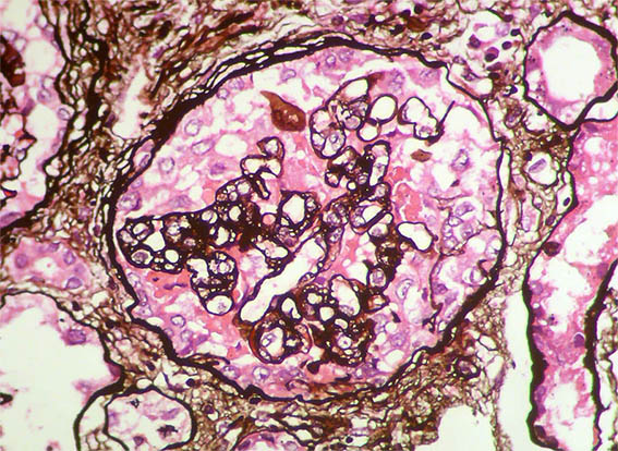
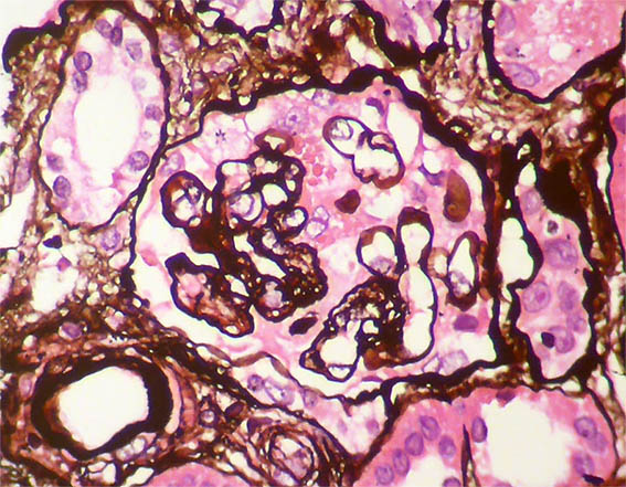
Figura 7. Plata-metenamina, X400. Dobles contornos. Semiluna versus hiperplasia severa de podocitos.

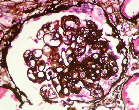
Figura 8. Plata-metenamina, X400. Patrón de membranoproliferativa y pequeña semiluna en la parte superior.

Figura 9. Plata-metenamina, X400. Dobles contornos. Mitosis, posiblemente de un podocito, en la parte superior.

Figura 10. Inmunofluorescencia para IgA, X400. Positividad mesangial y subendotelial.

Figura 11. Inmunofluorescencia para IgM, X400. Positividad mesangial y subendotelial.

Figura 12. Inmunofluorescencia para C3, X400. Positividad mesangial y subendotelial.

Figura 13. Inmunofluorescencia para IgG, X400. Negativa (o trazas).

Figura 14. Microscopía electrónica, aumento original, X2.550. Observe un doble contorno en la pared del capilar de la parte inferior.

Figura 15. Microscopía electrónica, aumento original, X2.550. Observe depósitos electron-densos subendoteliales y daño podocitario extenso.

Figura 16. Microscopía electrónica, aumento original, X2.550. Membrana basal irregular, ondulada, posiblemente con doble contorno y depósitos electron-densos.

Figura 17. Microscopía electrónica, aumento original, X2.550. Observe depósitos electron-densos subendoteliales.
Inmunofluorescencia directa para C1q: Negativa; kappa y lambda: Tinción similar a la de IgA e IgM.
¿Cuál es su diagnóstico?
Ver
diagnóstico y discusión
[Arriba]
|