CASO
204 (febrero de 2023)
Datos clínicos:
Una mujer de 65 años, con historia de diabetes mellitus insulinorrequiriente, presenta edema generalizado de 10 días de evolución. Se documenta síndrome nefrótico, con proteinuria de 15 g/24 horas; albúmina en suero: 2,1 g/dL. Dos meses antes, en un examen de control, tenía proteinuria de 1,2 g/24 horas. La paciente además tiene retinopatía diabética. En el uroanálisis hay microhematuria. Otros paraclínicos: hemoleucograma normal; HbA1c de 10%; creatinina sérica: 1,3 mg/dL, BUN: 21 mg/dL. ANAs: 1:160, moteado, anti-DNA: 1:10; C3: 88 (90-180), C4: 11 (12-40). No Hay alteraciones mucocutáneas o articulares al exámen físico.
Dado lo rápido del incremento de la proteinuria y la presencia de microhematuria se hace biopsia renal.

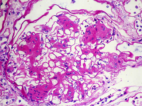
Figura 1. PAS, X400. Nódulos mesangiales.

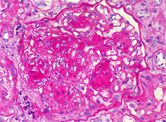
Figura 2. PAS, X400.

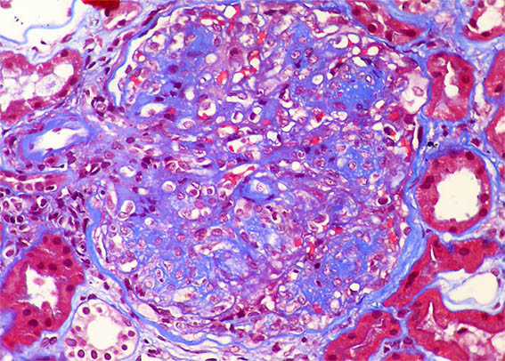
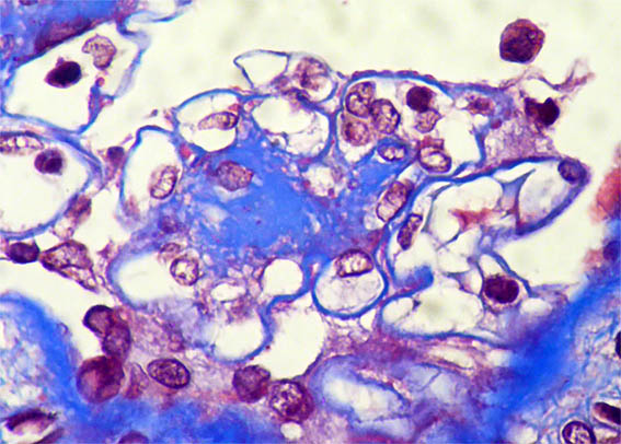
Figura 3.
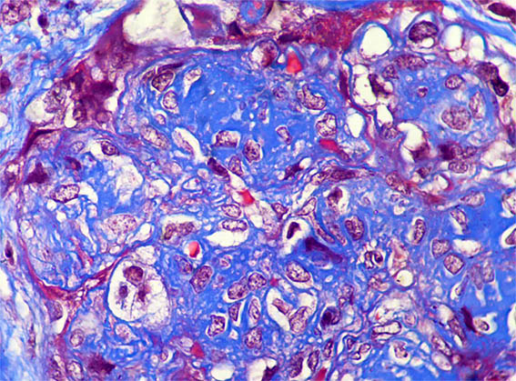
Tricrómico de Masson, X400.

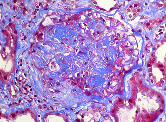
Figura 4. Tricrómico de Masson, X400.

Figura 5. Tricrómico de Masson, X400.

Figura 6. Tricrómico de Masson, X400.

Figura 7. Tricrómico de Masson, X1.000.

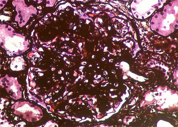
Figura 8. Plata-metenamina, X400.

Figura 9. Plata-metenamina, X400.

Figura 10. Plata-metenamina, X400. Observe el nódulo de la parte superior derecha, rodeado por membrana basal (posiblemente microaneurisma con trombo en organización).

Figura 11. Tricrómico de Masson, X1.000. Algunos sutiles granulos fuschinofílicos subepiteliales.

Figura 12. Plata-metenamina, X1.000. El mismo nódulo de la figura 10; observe "holes" en la membrana basal, al lado izquierdo.

Figura 13. Inmunofluorescencia para IgG, X400. Positividad parietal granular subepitelial. También hay algo de positividad mesangial.

Figura 14. Hay positividad para ambas cadenas ligeras, con intensidad similar (no hay restricción de cadenas), X400.

Figura 15. Inmunofluorescencia para C3, X400. Positividad segmentaria, débil, irregular.

Figura 16. Inmunofluorescencia para C1q, X400. Positividad parietal granular subepitelial.

Figura 17. Microscopía electrónica, aumento original, X4.000. Observe depósitos electron-densos subepiteliales.

Figura 18. Microscopía electrónica, aumento original, X4.000. También aqui observe los depósitos electron-densos subepiteliales.
Inmunofluorescencia directa para IgA: Negativa; IgM: Positividad focal y segmentaria en lesiones hialinas (atrapamiento inespecífico).
¿Cuál es su diagnóstico?
Ver
diagnóstico y discusión
[Arriba]
|