CASO
188 (Octubre de 2021)
Datos clínicos:
Un hombre de 65 años de edad es sometido a cirugía de corrección de aneurisma de la aorta abdominal, procedimiento sin complicaciones intraquirúrgicas. Tres días después presenta elevación de la creatinina sérica desde una basal de 1,4 hasta 3,8 mg/dL, BUN 64 mg/dL, proteinuria: 60 mg/dL, con microhematuria. Tiene antecedente de dislipidemia e HTA crónica. Estudios de autoinmunidad y virus: negativos. Electroforesis de proteínas: normal. Se piensa en enfermedad renal crónica agudizada.
Se hace biopsia renal. Observe las imágenes.

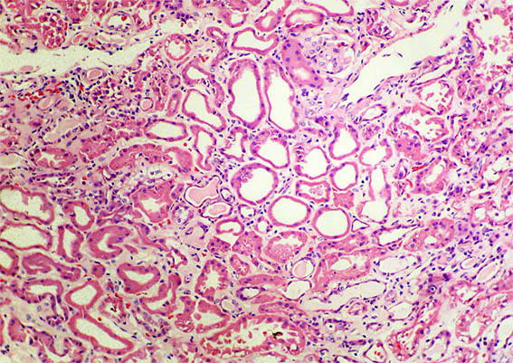
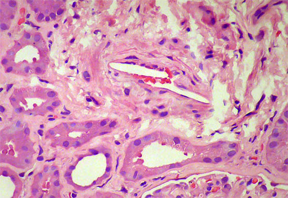
Figura 1. H&E, X200. Daño tubular agudo.

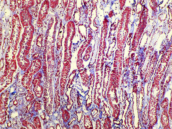
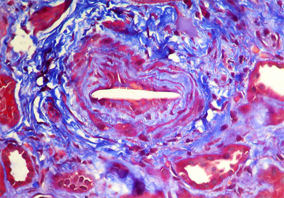
Figura 2. Tricrómico de Masson, X200.

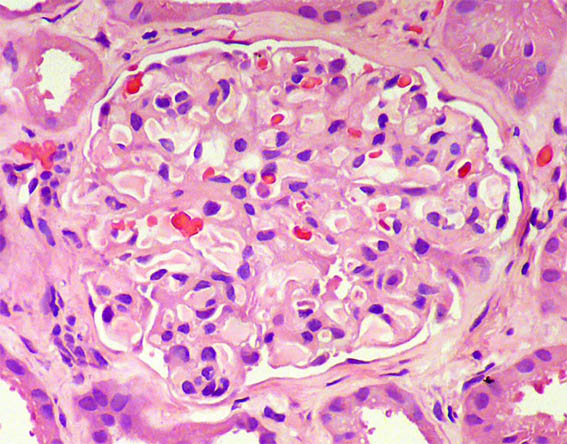
Figura 3.
H&E, X400. Glomérulo normal.

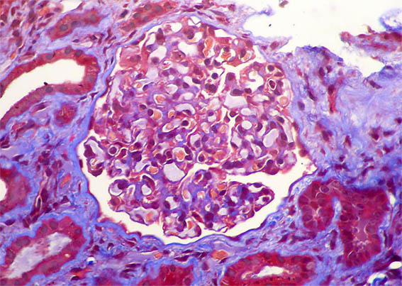
Figura 4. Tricrómico de Masson, X400.

Figura 5. H&E, X400.

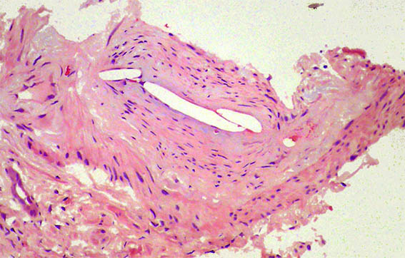
Figura 6. H&E, X200. ¿Que hay en la luz de la arteria?
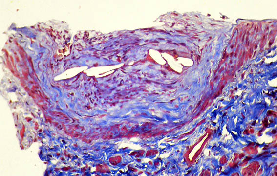
Figura 7. Tricrómico de Masson, X200. Observe la luz de la arteria.

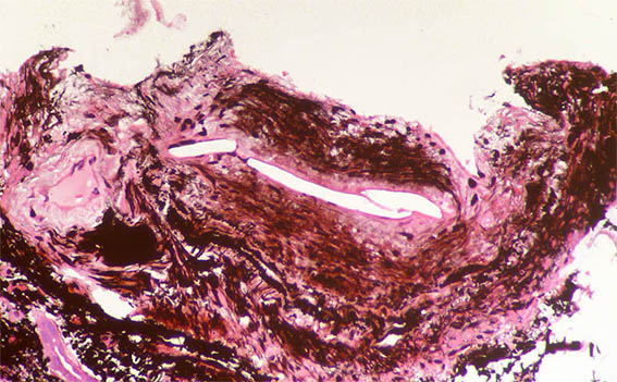
Figura 8. Plata-metenamina, X200.

Figura 9. H&E, X400. Una pequeña arteria / arteriola con similar obstrucción.

Figura 10. Tricrómico de Masson, X400.

Figura 11. Tricrómico de Masson, X400. Glomérulo con algunos sutiles cambios isquémicos.

Figura 12. ME. Plata-metenamina, X400. Glomérulo "exangüe", con aspecto solidificado, con severa disminución de luces capilares.
Inmunofluorescencia directa para IgA, IgG, IgM, C3, C1q, kappa y lambda: Negativas.
¿Cuál es su diagnóstico?
Ver
diagnóstico y discusión
[Arriba]
|